Страница 5 из 5
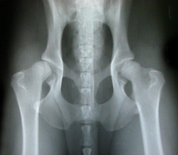
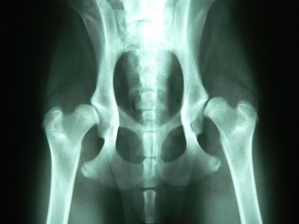
ДТБС у собак: рентгенограммы
Для удобства просмотра, перед открытием галереи перейдите в полноэкранный режим, нажав клавишу F11. Используйте стрелки клавиатуры или мышь, чтобы менять слайды, а также вспомогательное меню галереи для масштабирования изображения.
Кликните на картинку для её масштабирования
Галерея изображений доступна только в электронном виде по следующему адресу::
https://vetstudy.ru/%D1%80%D0%B5%D0%BD%D1%82%D0%B3%D0%B5%D0%BD%D0%BE%D0%BB%D0%BE%D0%B3%D0%B8%D1%8F/%D0%BD%D0%B0%D1%81%D0%BB%D0%B5%D0%B4%D1%81%D1%82%D0%B2%D0%B5%D0%BD%D0%BD%D1%8B%D0%B5-%D0%B7%D0%B0%D0%B1%D0%BE%D0%BB%D0%B5%D0%B2%D0%B0%D0%BD%D0%B8%D1%8F/%D0%B4%D0%B8%D1%81%D0%BF%D0%BB%D0%B0%D0%B7%D0%B8%D1%8F-%D1%82%D0%B0%D0%B7%D0%BE%D0%B1%D0%B5%D0%B4%D1%80%D0%B5%D0%BD%D0%BD%D0%BE%D0%B3%D0%BE-%D1%81%D1%83%D1%81%D1%82%D0%B0%D0%B2%D0%B0/%D1%81%D1%82%D1%80%D0%B0%D0%BD%D0%B8%D1%86%D0%B0-5#sigProId9224f5bcb2
https://vetstudy.ru/%D1%80%D0%B5%D0%BD%D1%82%D0%B3%D0%B5%D0%BD%D0%BE%D0%BB%D0%BE%D0%B3%D0%B8%D1%8F/%D0%BD%D0%B0%D1%81%D0%BB%D0%B5%D0%B4%D1%81%D1%82%D0%B2%D0%B5%D0%BD%D0%BD%D1%8B%D0%B5-%D0%B7%D0%B0%D0%B1%D0%BE%D0%BB%D0%B5%D0%B2%D0%B0%D0%BD%D0%B8%D1%8F/%D0%B4%D0%B8%D1%81%D0%BF%D0%BB%D0%B0%D0%B7%D0%B8%D1%8F-%D1%82%D0%B0%D0%B7%D0%BE%D0%B1%D0%B5%D0%B4%D1%80%D0%B5%D0%BD%D0%BD%D0%BE%D0%B3%D0%BE-%D1%81%D1%83%D1%81%D1%82%D0%B0%D0%B2%D0%B0/%D1%81%D1%82%D1%80%D0%B0%D0%BD%D0%B8%D1%86%D0%B0-5#sigProId9224f5bcb2
Кликните на картинку для её масштабирования
Галерея изображений доступна только в электронном виде по следующему адресу::
https://vetstudy.ru/%D1%80%D0%B5%D0%BD%D1%82%D0%B3%D0%B5%D0%BD%D0%BE%D0%BB%D0%BE%D0%B3%D0%B8%D1%8F/%D0%BD%D0%B0%D1%81%D0%BB%D0%B5%D0%B4%D1%81%D1%82%D0%B2%D0%B5%D0%BD%D0%BD%D1%8B%D0%B5-%D0%B7%D0%B0%D0%B1%D0%BE%D0%BB%D0%B5%D0%B2%D0%B0%D0%BD%D0%B8%D1%8F/%D0%B4%D0%B8%D1%81%D0%BF%D0%BB%D0%B0%D0%B7%D0%B8%D1%8F-%D1%82%D0%B0%D0%B7%D0%BE%D0%B1%D0%B5%D0%B4%D1%80%D0%B5%D0%BD%D0%BD%D0%BE%D0%B3%D0%BE-%D1%81%D1%83%D1%81%D1%82%D0%B0%D0%B2%D0%B0/%D1%81%D1%82%D1%80%D0%B0%D0%BD%D0%B8%D1%86%D0%B0-5#sigProId27ba63a418
https://vetstudy.ru/%D1%80%D0%B5%D0%BD%D1%82%D0%B3%D0%B5%D0%BD%D0%BE%D0%BB%D0%BE%D0%B3%D0%B8%D1%8F/%D0%BD%D0%B0%D1%81%D0%BB%D0%B5%D0%B4%D1%81%D1%82%D0%B2%D0%B5%D0%BD%D0%BD%D1%8B%D0%B5-%D0%B7%D0%B0%D0%B1%D0%BE%D0%BB%D0%B5%D0%B2%D0%B0%D0%BD%D0%B8%D1%8F/%D0%B4%D0%B8%D1%81%D0%BF%D0%BB%D0%B0%D0%B7%D0%B8%D1%8F-%D1%82%D0%B0%D0%B7%D0%BE%D0%B1%D0%B5%D0%B4%D1%80%D0%B5%D0%BD%D0%BD%D0%BE%D0%B3%D0%BE-%D1%81%D1%83%D1%81%D1%82%D0%B0%D0%B2%D0%B0/%D1%81%D1%82%D1%80%D0%B0%D0%BD%D0%B8%D1%86%D0%B0-5#sigProId27ba63a418
Кликните на картинку для её масштабирования
Галерея изображений доступна только в электронном виде по следующему адресу::
https://vetstudy.ru/%D1%80%D0%B5%D0%BD%D1%82%D0%B3%D0%B5%D0%BD%D0%BE%D0%BB%D0%BE%D0%B3%D0%B8%D1%8F/%D0%BD%D0%B0%D1%81%D0%BB%D0%B5%D0%B4%D1%81%D1%82%D0%B2%D0%B5%D0%BD%D0%BD%D1%8B%D0%B5-%D0%B7%D0%B0%D0%B1%D0%BE%D0%BB%D0%B5%D0%B2%D0%B0%D0%BD%D0%B8%D1%8F/%D0%B4%D0%B8%D1%81%D0%BF%D0%BB%D0%B0%D0%B7%D0%B8%D1%8F-%D1%82%D0%B0%D0%B7%D0%BE%D0%B1%D0%B5%D0%B4%D1%80%D0%B5%D0%BD%D0%BD%D0%BE%D0%B3%D0%BE-%D1%81%D1%83%D1%81%D1%82%D0%B0%D0%B2%D0%B0/%D1%81%D1%82%D1%80%D0%B0%D0%BD%D0%B8%D1%86%D0%B0-5#sigProId353afa98ea
https://vetstudy.ru/%D1%80%D0%B5%D0%BD%D1%82%D0%B3%D0%B5%D0%BD%D0%BE%D0%BB%D0%BE%D0%B3%D0%B8%D1%8F/%D0%BD%D0%B0%D1%81%D0%BB%D0%B5%D0%B4%D1%81%D1%82%D0%B2%D0%B5%D0%BD%D0%BD%D1%8B%D0%B5-%D0%B7%D0%B0%D0%B1%D0%BE%D0%BB%D0%B5%D0%B2%D0%B0%D0%BD%D0%B8%D1%8F/%D0%B4%D0%B8%D1%81%D0%BF%D0%BB%D0%B0%D0%B7%D0%B8%D1%8F-%D1%82%D0%B0%D0%B7%D0%BE%D0%B1%D0%B5%D0%B4%D1%80%D0%B5%D0%BD%D0%BD%D0%BE%D0%B3%D0%BE-%D1%81%D1%83%D1%81%D1%82%D0%B0%D0%B2%D0%B0/%D1%81%D1%82%D1%80%D0%B0%D0%BD%D0%B8%D1%86%D0%B0-5#sigProId353afa98ea
Кликните на картинку для её масштабирования
Галерея изображений доступна только в электронном виде по следующему адресу::
https://vetstudy.ru/%D1%80%D0%B5%D0%BD%D1%82%D0%B3%D0%B5%D0%BD%D0%BE%D0%BB%D0%BE%D0%B3%D0%B8%D1%8F/%D0%BD%D0%B0%D1%81%D0%BB%D0%B5%D0%B4%D1%81%D1%82%D0%B2%D0%B5%D0%BD%D0%BD%D1%8B%D0%B5-%D0%B7%D0%B0%D0%B1%D0%BE%D0%BB%D0%B5%D0%B2%D0%B0%D0%BD%D0%B8%D1%8F/%D0%B4%D0%B8%D1%81%D0%BF%D0%BB%D0%B0%D0%B7%D0%B8%D1%8F-%D1%82%D0%B0%D0%B7%D0%BE%D0%B1%D0%B5%D0%B4%D1%80%D0%B5%D0%BD%D0%BD%D0%BE%D0%B3%D0%BE-%D1%81%D1%83%D1%81%D1%82%D0%B0%D0%B2%D0%B0/%D1%81%D1%82%D1%80%D0%B0%D0%BD%D0%B8%D1%86%D0%B0-5#sigProIdb1899a2e0c
https://vetstudy.ru/%D1%80%D0%B5%D0%BD%D1%82%D0%B3%D0%B5%D0%BD%D0%BE%D0%BB%D0%BE%D0%B3%D0%B8%D1%8F/%D0%BD%D0%B0%D1%81%D0%BB%D0%B5%D0%B4%D1%81%D1%82%D0%B2%D0%B5%D0%BD%D0%BD%D1%8B%D0%B5-%D0%B7%D0%B0%D0%B1%D0%BE%D0%BB%D0%B5%D0%B2%D0%B0%D0%BD%D0%B8%D1%8F/%D0%B4%D0%B8%D1%81%D0%BF%D0%BB%D0%B0%D0%B7%D0%B8%D1%8F-%D1%82%D0%B0%D0%B7%D0%BE%D0%B1%D0%B5%D0%B4%D1%80%D0%B5%D0%BD%D0%BD%D0%BE%D0%B3%D0%BE-%D1%81%D1%83%D1%81%D1%82%D0%B0%D0%B2%D0%B0/%D1%81%D1%82%D1%80%D0%B0%D0%BD%D0%B8%D1%86%D0%B0-5#sigProIdb1899a2e0c
Кликните на картинку для её масштабирования
Галерея изображений доступна только в электронном виде по следующему адресу::
https://vetstudy.ru/%D1%80%D0%B5%D0%BD%D1%82%D0%B3%D0%B5%D0%BD%D0%BE%D0%BB%D0%BE%D0%B3%D0%B8%D1%8F/%D0%BD%D0%B0%D1%81%D0%BB%D0%B5%D0%B4%D1%81%D1%82%D0%B2%D0%B5%D0%BD%D0%BD%D1%8B%D0%B5-%D0%B7%D0%B0%D0%B1%D0%BE%D0%BB%D0%B5%D0%B2%D0%B0%D0%BD%D0%B8%D1%8F/%D0%B4%D0%B8%D1%81%D0%BF%D0%BB%D0%B0%D0%B7%D0%B8%D1%8F-%D1%82%D0%B0%D0%B7%D0%BE%D0%B1%D0%B5%D0%B4%D1%80%D0%B5%D0%BD%D0%BD%D0%BE%D0%B3%D0%BE-%D1%81%D1%83%D1%81%D1%82%D0%B0%D0%B2%D0%B0/%D1%81%D1%82%D1%80%D0%B0%D0%BD%D0%B8%D1%86%D0%B0-5#sigProId38af78dc5c
https://vetstudy.ru/%D1%80%D0%B5%D0%BD%D1%82%D0%B3%D0%B5%D0%BD%D0%BE%D0%BB%D0%BE%D0%B3%D0%B8%D1%8F/%D0%BD%D0%B0%D1%81%D0%BB%D0%B5%D0%B4%D1%81%D1%82%D0%B2%D0%B5%D0%BD%D0%BD%D1%8B%D0%B5-%D0%B7%D0%B0%D0%B1%D0%BE%D0%BB%D0%B5%D0%B2%D0%B0%D0%BD%D0%B8%D1%8F/%D0%B4%D0%B8%D1%81%D0%BF%D0%BB%D0%B0%D0%B7%D0%B8%D1%8F-%D1%82%D0%B0%D0%B7%D0%BE%D0%B1%D0%B5%D0%B4%D1%80%D0%B5%D0%BD%D0%BD%D0%BE%D0%B3%D0%BE-%D1%81%D1%83%D1%81%D1%82%D0%B0%D0%B2%D0%B0/%D1%81%D1%82%D1%80%D0%B0%D0%BD%D0%B8%D1%86%D0%B0-5#sigProId38af78dc5c
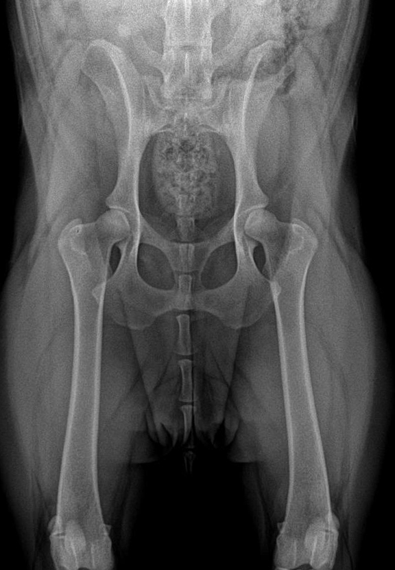
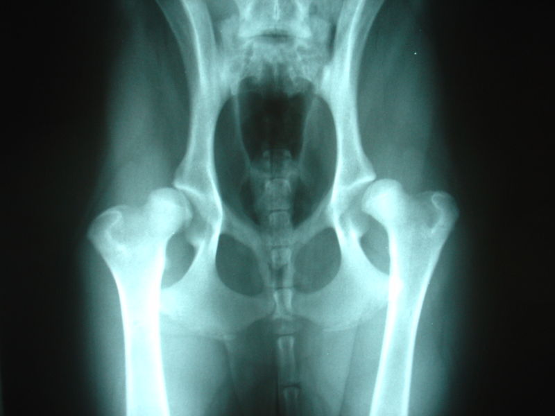
ДТБС: степень "А" — норма




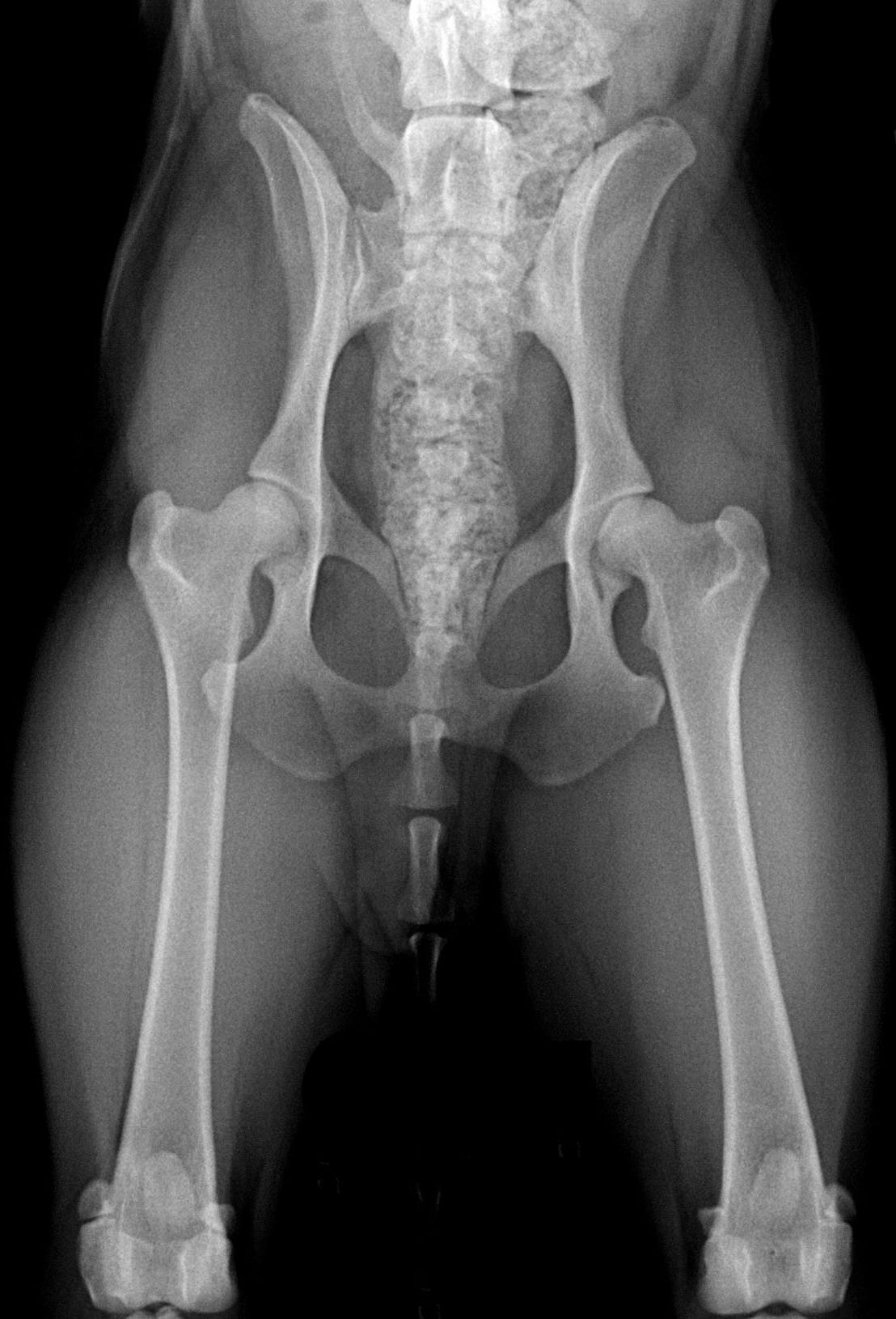
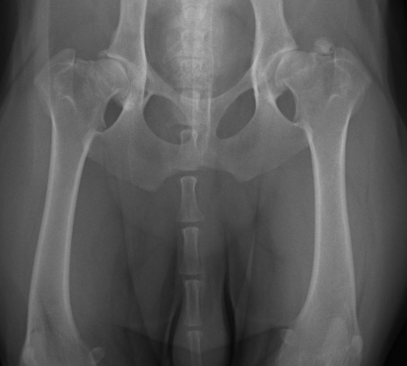
ДТБС: степень "B" — в пределах нормы



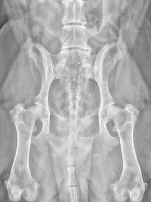
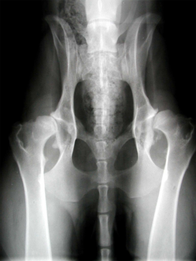
ДТБС: степень "С" — начальная форма



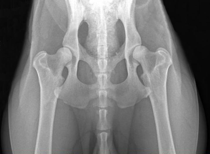
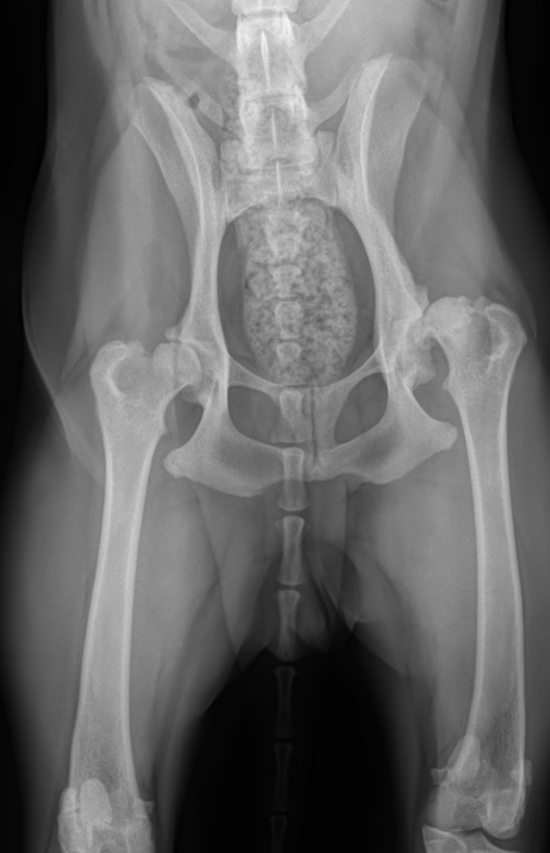
ДТБС: степень "D" — средняя форма



ДТБС: степень "E" — тяжёлая форма






